コンテンツへスキップ
歯科医師の古田晶子:
furuta@haisya-shika.com
ナビゲーションを切り替え
歯医者さんのオススメ治療
古田晶子(歯科医師)が伝える大切な歯のこと
三軒茶屋歯科開院
古田晶子について
歯科医師向けセミナー情報
dr furuta's web site
12
11月
furutaakiko
カテゴリー
症例
コメントはありません
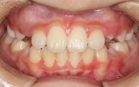
9歳女の子 反対咬合を顎の成長を利用した矯正装置を用いて改善した症例
12
11月
furutaakiko
カテゴリー
症例
コメントはありません
20代女性 乱れた上下の歯並びをハイブリッド矯正で改善した症例
12
11月
furutaakiko
カテゴリー
インプラント
・
症例
コメントはありません
20代男性 割れた奥歯を抜いたあとインプラント治療を行った症例
04
11月
furutaakiko
カテゴリー
症例
コメントはありません
20代女性 ワイヤー矯正とマウスピース矯正を併用したハイブリッド矯正で歯並びを改善した症例
23
8月
furutaakiko
カテゴリー
症例
コメントはありません
30代男性 右下奥歯の隣接面にできた虫歯を取り除いたあとダイレクトボンディングで修復した症例
19
8月
furutaakiko
カテゴリー
症例
コメントはありません
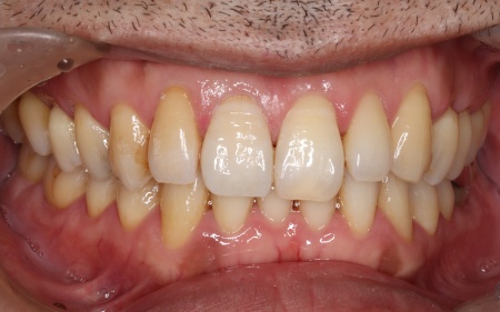
50代女性 インプラントアンカーを併用したワイヤー矯正で乱れた歯並びと噛み合わせを改善した症例
18
8月
furutaakiko
カテゴリー
症例
コメントはありません
5歳男の子 顎の幅を広げて永久歯が生えるスペースを確保する1期治療で歯並びを整えた症例
18
8月
furutaakiko
カテゴリー
症例
コメントはありません
40代男性 温存が難しい割れた奥歯を抜いてインプラントで噛み合わせを回復した症例
30
7月
furutaakiko
カテゴリー
症例
コメントはありません
30代女性 歯肉骨形成とセラミックの被せ物で右上前歯の審美性を改善した症例
06
6月
furutaakiko
カテゴリー
症例
コメントはありません
7歳女の子 口周りや全身の筋肉バランスを整えるトレーニングでガタガタに生えている下前歯の歯並びを改善した症例
投稿ナビゲーション
過去の投稿