10歳女の子 顎の幅を広げる装置とマウスピース型の矯正装置で反対咬合を改善した症例

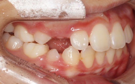
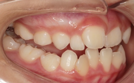
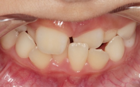
治療前

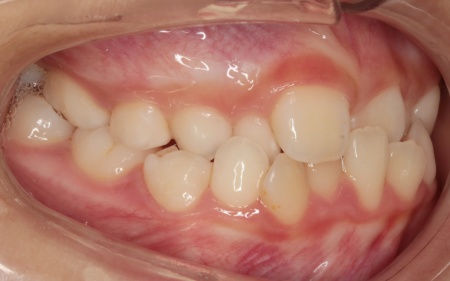
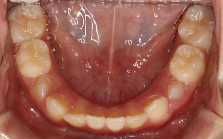
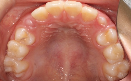
治療後

はじめの相談内容 「受け口が気になる。かかりつけの歯科医院で治療を考えていたが、友人にすすめられて来院した」とご相談いただきました。
診断結果 拝見したところ、上前歯が下前歯の内側に入り込む「反対咬合(こうごう)」が認められました。

詳しい検査の結果、患者様の反対咬合は歯の位置の問題ではなく、上顎の発育が十分ではないことが主な原因と考えられます。

このまま放置すると、顎のずれが大きくなり、将来的に外科手術が必要になるリスクがあるだけでなく、歯の位置関係が乱れることで発音に影響が出るおそれもあります。

また、お子様の場合は成長期のうちに顎の発育を適切に促すことが重要なので、早期に矯正治療を開始する必要があると診断しました。
行った治療内容 まずは、「バイオブロック」による治療で上顎の発育を促すこと、その後、前歯の位置を細かく整えるためマウスピース型矯正装置「インビザラインファースト」と、上顎を前方へ引き出す「前方牽引装置」を併用する治療計画を提案しました。

・バイオブロック
成長期のお子様に使用する矯正装置です。上顎の骨を横方向に拡大して歯が並ぶためのスペースを確保し、反対咬合の改善を図ります。
使用できる年齢に制限があり、毎日しっかりと装置を着用する必要があります。

・インビザラインファースト
お子様向けの透明で取り外し可能な矯正装置で、マウスピースを段階的に交換しながら歯を少しずつ動かします。装着時間が不足すると十分な効果が得られにくい点がデメリットです。

・前方牽引装置
上顎の骨に前方への力をかけながら成長を促す装置で、主に就寝時に使用します。装着に際し、ご家庭での協力が治療結果に大きく影響することがあります。

治療内容と合わせて、成長の状況によっては将来追加の矯正治療が必要になる可能性も含めて丁寧に説明し、治療に同意いただきました。

まずは、バイオブロックを用いて上顎の拡大を行います。
慎重に調整を重ねながら、顎を適切な幅まで拡大するとともに、噛み合わせの変化を細かく確認して治療を進めました。

上顎の幅が整ったら、インビザラインファーストによる歯列の調整を開始します。
定期的に通院いただいてマウスピースの適合状態を確認し、計画通り歯が移動しているかを丁寧にチェックしました。
併せて、就寝時には前方牽引装置を使用していただいています。

後日、噛み合わせや歯並びが整ったことを確認し、矯正治療を終了しました。

現在は、3ヶ月に1回のペースで来院いただきながら経過観察を続け、永久歯の生え変わりに合わせて、必要に応じてリテーナー(保定装置)の調整も行っています。
治療期間 約1年10ヶ月
費用 583,000円
(毎月の調整料は保険の範囲)
治療のリスクについて ・決められたスケジュールを守らない場合、十分な効果が得られない可能性があります
・マウスピースに対応していない症例の場合、治療が難しい可能性があります
・歯の移動に伴って、痛みや違和感を感じる場合があります
・正しいブラッシングやメンテナンスを行わない場合、虫歯や歯周病のリスクが高まります
・治療中、発音しにくい場合があります ・冷たいものを飲んだときに歯がしみる「知覚過敏」の症状が出る場合があります

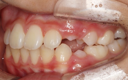
治療前

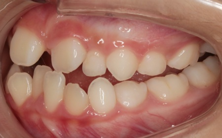
治療中

治療後

その他