40代男性 折れた前歯をジルコニアとポーセレンを組み合わせた被せ物で修復した症例

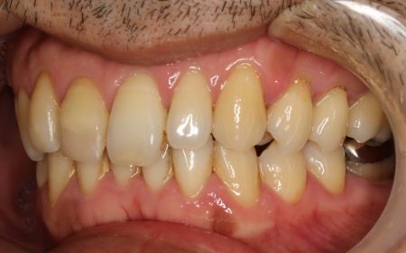
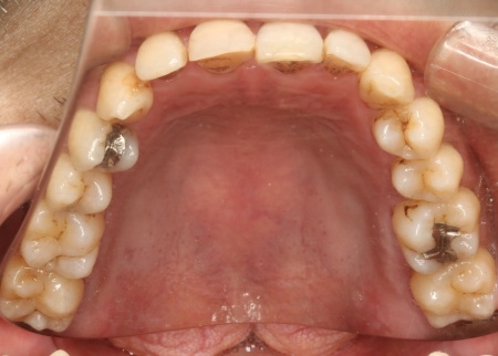
治療前

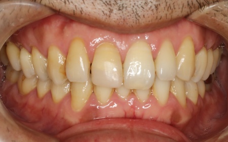
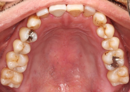
治療後

はじめの相談内容 「以前、前歯が折れた際、応急処置としてプラスチックの詰め物をしたが、見た目が気になるので治したい」とご相談いただきました。
診断結果 拝見したところ、右上前歯には歯科用プラスチックであるコンポジットレジンが充填されていましたが、
治療途中のまま時間が経過しており、歯の形や噛み合わせが整っていませんでした。
コンポジットレジンは、比較的短時間で処置ができる一方、長期間使用するとすり減りなどの劣化が生じることがあります。
このまま放置すると、さらに劣化したり詰め物が外れたりするリスクがあります。

また、前歯は審美性に大きく影響する部位でもあるため、強度と審美性の両方を考慮した被せ物による修復治療が必要であると診断しました。
行った治療内容 診断結果をもとに、前歯を被せ物(クラウン)で修復する治療を提案し、同意いただきました。
被せ物の種類については、以下3つの選択肢をお伝えしています。

①ジルコニアクラウン:セラミックの中でも強度の高い素材で作製する被せ物
メリット:高い強度と耐久性をもち、壊れにくい
デメリット:透明感がやや低く、前歯に使用すると色合いが不自然になるおそれがある

②オールセラミック:すべて白いセラミックで作製する被せ物
メリット:天然歯に近い透明感と色調を再現でき、審美性に優れている
デメリット:ジルコニアと比較すると、強度はやや劣る

③ポーセレンビルトアップクラウン:強度の高いフレームの上に、セラミック(ポーセレン)を重ねて作製する被せ物
メリット:色調の再現性が高く、周囲の歯となじみやすい
デメリット:噛む力が強い場合、表面のポーセレン部分が欠ける場合がある

それぞれの特徴を説明したうえで、患者様は③のポーセレンビルトアップクラウンを選択されました。

また、今回はフレームにはジルコニアを使用し、表面の一部にポーセレンを重ねて作る「カットバッククラウン」という方法で製作します。
この方法なら、ジルコニアの高い強度を保ちながら、ポーセレンによって自然な色のグラデーションを再現することが可能です。

まず既存のコンポジットレジンを除去し、被せ物が合うように歯の形を整えます。その後、ぴったり合う被せ物を作るため歯の型取り(印象採得)を行いました。
被せ物が完成するまでの間は、見た目や噛み合わせを保つために仮歯を作製し、装着しています。

続いて採取した歯型をもとに、歯科技工士がカットバッククラウンを製作しました。被せ物は、患者様の歯の色や噛み合わせを確認しながら仕上げています。

最後に、完成した被せ物を装着し、見た目や噛み合わせに問題がないことを確認して、治療を終了しました。
治療期間 3回
費用 約155,000円
(仮歯、被せ物、セット料/調整料なし)
治療のリスクについて ・装着に際し、天然歯を削る場合があります
・硬い素材の場合、他の天然歯を傷つけることがあります
・噛み合わせや歯ぎしりが強い場合、セラミックが割れる可能性があります
・一部の治療を除き、自費診療(保険適用外治療)です

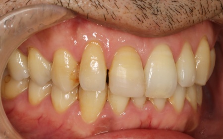
治療前

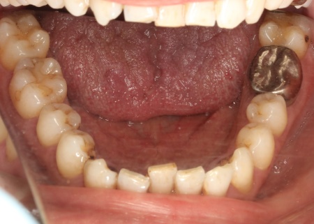
治療中

治療後

その他