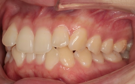
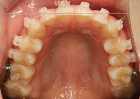
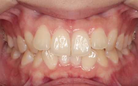
治療前
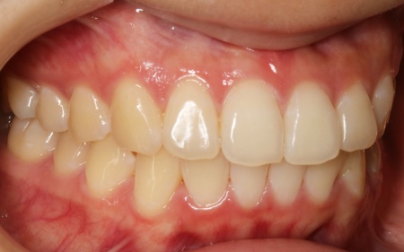
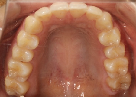
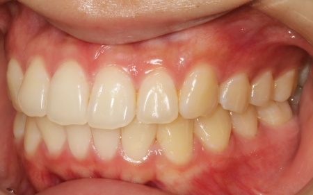
治療後
| はじめの相談内容 | 「歯並びが気になるので治療をしたい」とご相談いただきました。 |
|---|---|
| 診断結果 | 拝見したところ、上下の歯はデコボコに生えている状態でした。 このままでは見た目が気になるだけでなく、磨き残しが起こりやすくなることで虫歯や歯周病などの発症リスクが高まります。 以上のことから、歯並びを改善する矯正治療が必要だと診断しました。 |
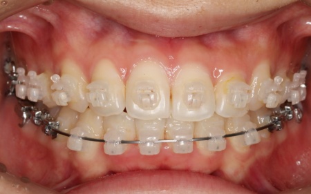
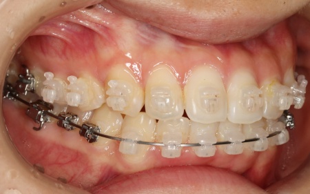
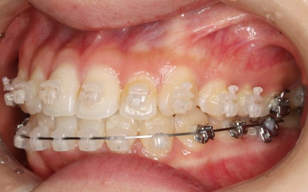
| 行った治療内容 | 患者様は「できるだけ目立たない治療方法で、なるべく早く終わらせたい」と希望されていたため、ハイブリッド矯正を提案し、同意いただきました。 ハイブリッド矯正とは、ワイヤー矯正とマウスピース矯正の両方を行う方法です。先にワイヤー矯正で歯を大きく移動させたあと、マウスピース矯正で仕上げることで、治療期間の短縮が望めます。 ただ2種類の矯正装置を使用するため、単独での矯正治療よりも費用が高くなる点がデメリットです。 ・ワイヤー矯正 歯の表面にブラケットと呼ばれるボタン状の装置を接着し、そこにワイヤーを通して歯を移動させる方法です。 患者様は目立たない治療方法を望まれていたため、ブラケットには白く目立ちにくい「セラミックブラケット」を選択しました。 ・マウスピース矯正 患者様専用のマウスピース(アライナー)を複数個作製して、定期的にご自身で交換しながら歯を移動させる方法です。 今回は、アライナーの枚数に制限がないプランである「インビザライン・コンプリヘンシブ」を選択しました。 まずは歯の表面にセラミックブラケットを装着し、ワイヤー矯正で歯を全体的に移動させます。 歯並びがある程度正しい位置に並んだら、マウスピース矯正で微調整を行いました。 歯の移動が完了したあとは定期的に経過を確認しながら、後戻りを防ぐためのリテーナー(保定装置)を継続して使用いただき、治療を終了しました。 |
| 治療期間 | 約1年5ヶ月 |
| 費用 | 約935,000円 【内訳】 CT撮影、術前検査・説明、矯正、リテーナー |
| 治療のリスクについて | ・治療中、舌が動かしにくいことがあります ・治療中、装置によってまれに頬の内側が傷つき、口内炎になる場合があります ・冷たいものを飲んだときに歯がしみる「知覚過敏」の症状が出る場合があります ・正しいブラッシングやメンテナンスを行わない場合、虫歯や歯周病のリスクが高まります ・決められたスケジュールを守らない場合、十分な効果が得られない可能性があります ・マウスピースに対応していない症例の場合、治療が難しい可能性があります |
治療前
治療中
治療後