9歳女の子 反対咬合を顎の成長を利用した矯正装置を用いて改善した症例

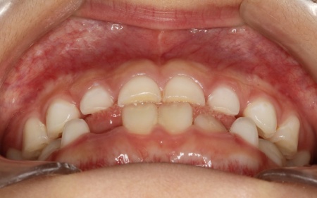
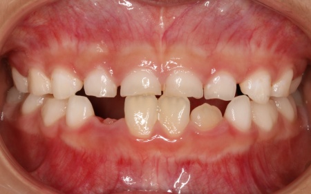
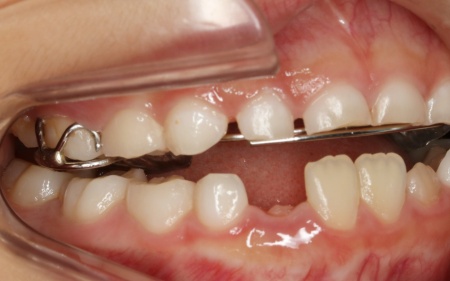
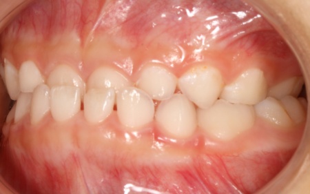
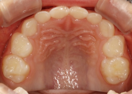
治療前

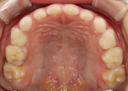
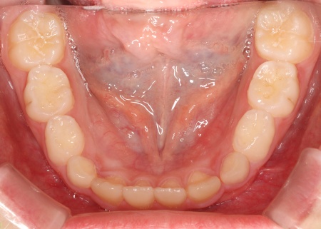
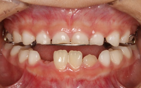
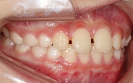
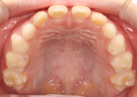
治療後

はじめの相談内容 「受け口を治したい」とご相談いただきました。
診断結果 拝見したところ、患者様は乳歯のみが生えている乳歯列期の段階でしたが、この時点ですでに反対咬合が認められました。
反対咬合とは、下の前歯が上の前歯よりも前に出ている状態のことで、一般的に「受け口」とも呼ばれます。

反対咬合は、このまま放置すると永久歯に生えかわったあとも継続してしまうおそれがあり、顎の成長や噛み合わせ、発音や顔貌にも悪影響を及ぼすことがあります。

しかし、この時期は顎の骨が成長段階にあり、適切な治療を行うことで改善が期待できるため、早期に治療を開始する必要があると診断しました。
行った治療内容 患者様には、上顎の骨を前方に成長させることで反対咬合を改善する治療方法を提案しました。
乳歯列期から治療を始めることで、顎の自然な成長を利用しながら、より効率的に反対咬合を改善することが可能です。

その一方で、以下の注意点も併せてお伝えしています。
・装置は着脱式なので、装着時間を守る必要がある
・装置に慣れるまでは、違和感や発音のしにくさを感じることがある
・成長を利用した治療のため、ある程度の期間を要する

治療内容について詳しく説明し、この治療には患者様とご家族の協力が不可欠であることもご理解いただいたうえで、患者様とご家族は「できる限り早期に改善したい」とのことから、治療に同意いただきました。

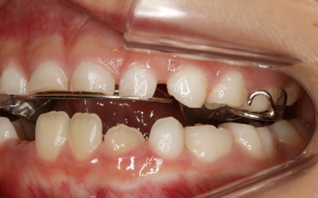
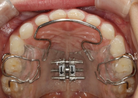
まずは上顎に「バイオブロック(BB1)」という装置を装着します。
バイオブロックとは、上顎の骨を前方に成長させることを目的とした、乳歯列期のお子様に適した矯正装置です。この装置により、上顎の骨の成長を促して反対咬合の改善を図りました。

続いて下顎には、顎の幅を広げて歯が並ぶスペースを確保しながら、上下の噛み合わせのバランスを整える役割をもつ「拡大床」という装置を装着しました。

治療中は定期的に通院いただき、装置の調整を丁寧に行いながら、噛み合わせの状態を都度確認します。
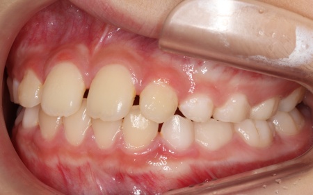
お子様の成長に合わせて慎重に治療を進めることで、無理のない自然な形で歯並びと噛み合わせを改善することができました。

矯正治療が終了したあとは、治療後の状態を安定させて後戻りを防ぐための「保定装置」を装着し、経過観察を行います。
この段階でも定期的に通院いただいて、良好な状態が維持されていることを確認しました。

現在も保定装置を継続して使用していただいているため、安定した状態を保っています。
治療期間 約4年
(現在も保定にて経過観察中)
費用 400,000円
治療のリスクについて ・治療中、発音しにくい場合があります
・治療中、舌が動かしにくいことがあります
・治療中、装置によってまれに頬の内側が傷つき、口内炎になる場合があります
・決められたスケジュールを守らない場合、十分な効果が得られない可能性があります
・歯の移動に伴って、痛みや違和感を感じる場合があります
・正しいブラッシングやメンテナンスを行わない場合、虫歯や歯周病のリスクが高まります

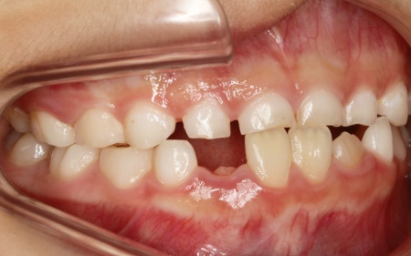
治療前

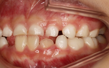
治療中

治療後