コンテンツへスキップ
歯科医師の古田晶子:furuta@haisya-shika.com

    歯医者さんのオススメ治療

    古田晶子(歯科医師)が伝える大切な歯のこと

    • 三軒茶屋歯科開院
    • 古田晶子について
    • 歯科医師向けセミナー情報

    sanchasika_No8_middle_007

    furutaakiko 2025年11月12日 コメントはありません

    投稿ナビゲーション

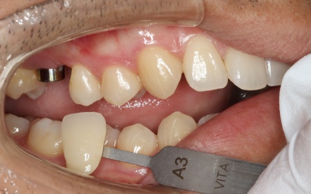
    20代男性 割れた奥歯を抜いたあとインプラント治療を行った症例

    このサイトについて

    • 三軒茶屋歯科開院
    • 古田晶子について
    • 歯科医師向けセミナー情報

    最近の投稿

    • 40代男性 折れた前歯をジルコニアとポーセレンを組み合わせた被せ物で修復した症例
    • 10歳女の子 顎の幅を広げる装置とマウスピース型の矯正装置で反対咬合を改善した症例
    • 3歳男の子 反対咬合を上顎の発育を促す装置で改善した症例
    • 30代男性 透明なマウスピース型の矯正装置で前歯の歯並びを整えた症例
    • 30代男性 歯が欠損した部分を片側固定ブリッジで補った症例

    広告

    歯科医師向けセミナー情報

    ヨシダのセミナー
    クインテッセンスのセミナー

    M.I.C

    デンタルコンセプト21

    ノーベルバイオケア

    ストローマン

    デンツプライ(アストラ)

    アルタデント(カムログ)

    インプラテックス

    プラトン

    モリタ

    GC

    松風

    白水貿易

    東京医科歯科大学歯科同窓会 | C.D.E.

    テルナ(ヒアルロン酸)

    オーラルスタジオ

    白鵬

    京セラ

    C.I.D

    JIADS

    SJCD

    JACID

    広告

    カテゴリー

    • インプラント
    • ホワイトニング
    • レントゲン
    • 入れ歯
    • 審美
    • 未分類
    • 歯医者
    • 歯周病
    • 症例
    • 美容
    • 虫歯

    アーカイブ

    • 2026年3月
    • 2026年2月
    • 2025年11月
    • 2025年8月
    • 2025年7月
    • 2025年6月
    • 2022年2月
    • 2021年1月
    • 2017年4月
    • 2017年3月
    • 2017年2月
    • 2017年1月
    • 2016年12月
    • 2016年11月
    • 2016年10月
    • 2016年8月
    • 2016年7月
    Themeisle

    第2メニュー

    • -
    • -
    • -
    Llorix One Lite Powered by WordPress