50代女性 インプラントアンカーを併用したワイヤー矯正で乱れた歯並びと噛み合わせを改善した症例

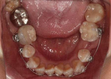
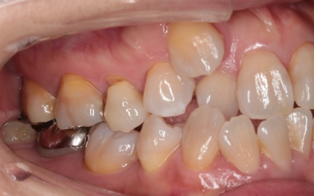
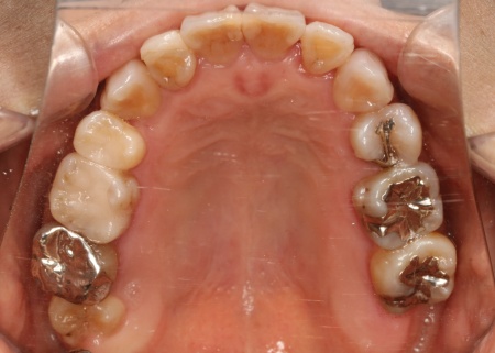
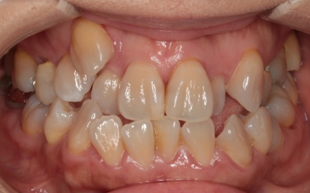
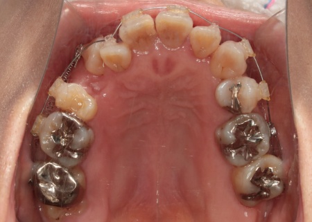
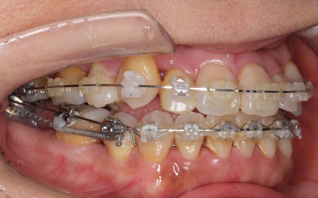
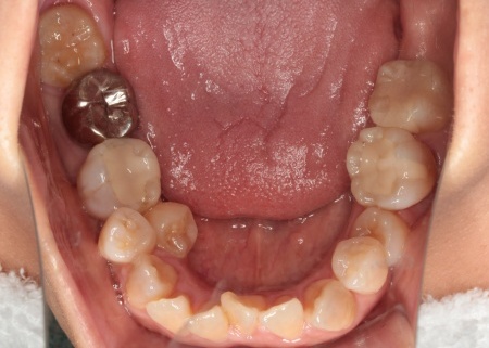
治療前

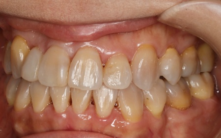
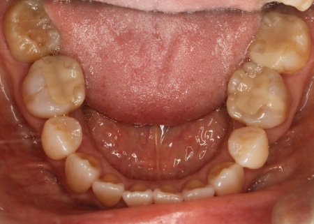
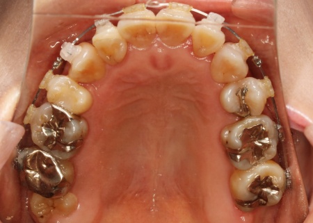
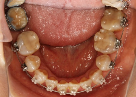
治療後

はじめの相談内容 「見た目が気になる。また、食べ物が噛みにくい」とご相談いただきました。
診断結果 拝見したところ、上下の歯がデコボコに乱れて生えていました。
歯の大きさに対して顎が小さいため、歯が正常に並びきらず、全体的な噛み合わせのバランスも崩れています。

噛み合わせを詳しく検査したところ、実際にしっかりと噛み合っているのは一部の歯だけで、このまま放置すると特定の歯に負担が集中し、将来的に痛みや違和感が生じるおそれがあります。

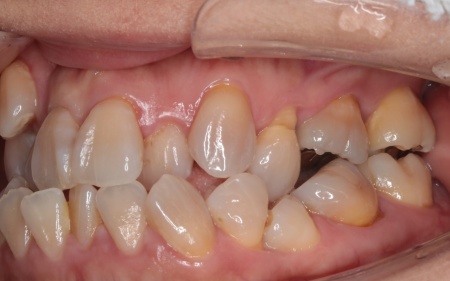
また、銀歯が装着されている右下奥歯は以前神経を抜く治療がされていましたが、現在は歯の具合が良好とはいえず、温存が難しい状態です。

以上のことから、温存が難しい歯を抜いたうえで、矯正治療によって歯並びと噛み合わせを整える必要があると診断しました。
行った治療内容 患者様には以下の治療方法をお伝えし、同意いただきました。
①抜歯
歯を移動させるスペースを確保する目的で、右上第1小臼歯、右下第2小臼歯、左下第2小臼歯の計3本と、温存が難しい右下第2大臼歯1本、合計4本の歯を抜きます。
温存が難しい右下奥歯を抜いたあとは、その後方にある親知らずを手前に移動させることで、機能面の改善と歯の寿命延長が期待できることを説明しました。
また、銀歯が装着されている歯を抜くことで下の歯がすべて白くなり、見た目の印象が改善されることも併せてお伝えしています。

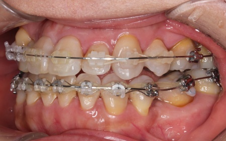
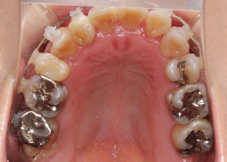
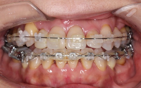
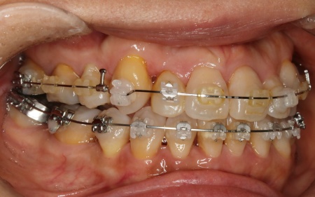
②ワイヤー矯正
抜歯後、歯の表面にブラケットと呼ばれるボタン状の装置を接着し、そこにワイヤーを通して歯を動かす矯正治療を行います。
メリット
・複雑な歯並びにも対応できる
・ワイヤーでしっかりと力をかけられるため、移動効率が高い
・細かい調整ができる
デメリット
・自費診療のため、費用が高額になる
・ワイヤーは取り外しができないため、やや目立つ
・歯磨きがしにくい

今回は審美性に配慮し、前歯には目立ちにくい透明のブラケットを、奥歯には耐久性のある金属製のブラケットを使用するハイブリッド矯正を選択しました。

まずは、治療計画に沿って計4本の歯を抜きます。
後日抜歯時の傷が治癒したことを確認し、ワイヤー矯正を開始しました。
ワイヤー矯正を進めていくなかで、右上の前歯2本(中切歯、側切歯)が骨の中で根がくっついている癒合歯(ゆごうし)であることが判明しました。
この影響で、側切歯の位置がずれたまま中切歯と一緒に動いてしまい、単独での正確な位置調整が難しい状態です。
そのため患者様と相談し、側切歯の表側に歯科用プラスチックを盛って見た目を整え、噛み合わせに支障が出ないよう慎重に調整を行う措置をとりました。
また歯を効率よく動かすため、顎の骨に矯正用の小さなネジであるインプラントアンカーを埋め込み、それを固定源とすることでしっかりと歯を動かしながら、歯列と噛み合わせのバランスを整えています。

最後に、歯並びや噛み合わせがしっかりと改善されたことを確認し、治療を終了しました。
治療期間 3年
費用 約1,019,500円
【CTレントゲン、術前診査検査、
ハイブリッド矯正(透明なブラケットと金属製のブラケットを併用したワイヤー矯正)、抜歯(4本)、インプラントアンカー、調整料24回分】
治療のリスクについて ・治療中、発音しにくい場合があります
・治療中、舌が動かしにくいことがあります
・治療中、装置によってまれに頬の内側が傷つき、口内炎になる場合があります
・歯の移動に伴って、違和感や痛みを感じる場合があります
・冷たいものを飲んだときに歯がしみる「知覚過敏」の症状が出る場合があります
・正しいブラッシングやメンテナンスを行わない場合、虫歯や歯周病のリスクが高まります

治療前

治療中

治療後