40代男性 温存が難しい割れた奥歯を抜いてインプラントで噛み合わせを回復した症例

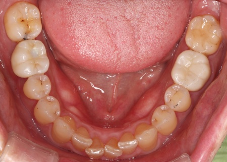
治療前

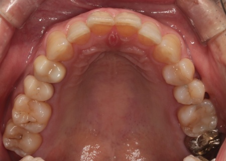
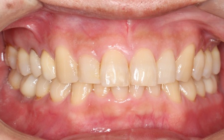
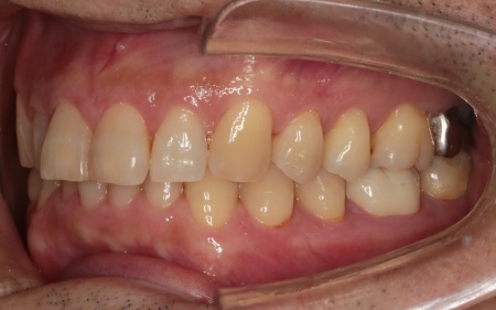
治療後

はじめの相談内容 「歯が割れてしまったので、インプラントで治療をしたい」とご相談いただきました。
診断結果 右下奥歯(第1大臼歯)は歯根内部を清掃・消毒したうえで薬剤を詰める根管治療が必要な状態だったため治療を進めていたところ、破折線が確認できました。

このまま歯が割れている状態を放置すると、歯を支える骨が溶ける、強い痛みが出る、歯茎が腫れるなどのリスクがあるため、右下奥歯の温存は困難です。

以上のことから、右下奥歯を抜いたうえで空いたスペースを補う治療が必要だと診断しました。
行った治療内容 右下奥歯を抜いたあとの治療方法として、以下を提案しました。

①両隣の歯にバネをかけて装着する、取り外しが可能な「部分入れ歯」
メリット:治療期間が短く、費用も抑えられる
デメリット:装着時に違和感を覚えやすい。ほかの治療方法よりも、噛み心地が劣る場合がある

②両隣の歯を削って土台にし、橋を渡すように人工歯を入れる「ブリッジ」
メリット:比較的短時間で治療が終了する
デメリット:ブリッジの土台とするために、両隣の健康な歯を多く削る必要がある。装着後のブラッシングが難しい

③顎の骨に人工歯根を埋め込み、その上に被せ物を装着する「インプラント」
メリット:周囲の歯に負担をかけずに治療が可能で、天然歯に近い噛み心地が期待できる。自分の歯と同じように清掃することができる
デメリット:入れ歯やブリッジと比較すると、治療期間が長く費用もかかる

患者様は、両隣の歯を削らずにすむ点、噛む力が強いため丈夫な治療方法を希望している点から、③のインプラントによる治療に同意いただきました。
また、骨とインプラント体がしっかり結合する時間を確保できるよう、手術を2回に分けて行う2回法を選択しています。

まずは右下奥歯(第1大臼歯)を抜き、傷口が治癒するのを待ちます。
2ヶ月後に傷口がしっかりとふさがったことを確認できたため、CTを撮影してインプラントの治療計画を立て、後日インプラントを埋め込む手術を行いました。

手術の際、インプラントを埋め込む骨の中に抜歯後の傷が修復される過程でできた肉芽組織が見られたため、手術時に専用の器具を用いて取り除いてからインプラントを埋め込み、縫合しました。

2週間後に抜糸し、さらに2ヶ月後に歯茎を再度開いて手術をする2次オペを行います。
まず歯茎を開いて埋め込まれたインプラントの頭部を出し、インプラントと周囲の歯肉が治癒しやすい環境を整える役割を果たすヒーリングアバットメントを装着し、再び縫合しました。

傷口が治癒したことを確認したら抜糸し、インプラントに取り付ける被せ物を作製するため、型取りを行います。
完成した被せ物はネジで固定するスクリューリテインという方法を採用してしっかりと取り付け、噛み合わせに問題がないことを確認して、治療を終了しました。
治療期間 8ヶ月
(遠方在住で通院できる頻度が限られていたため)
費用 440,000円
治療のリスクについて ・持病をお持ちの方や、服用中のお薬の種類によっては、外科処置ができない場合があります
・外科手術のため、術後に痛みや腫れ、違和感を伴います
・メンテナンスを怠ったり、喫煙したりすると、お口の中に大きな悪影響を及ぼし、インプラント周囲炎などにかかる可能性があります
・糖尿病、肝硬変、心臓病などの持病をお持ちの場合、インプラント治療ができない可能性があります
・高血圧、貧血・不整脈などの持病をお持ちの場合、インプラント治療後に治癒不全を招く可能性があります
・装着に際し、天然歯を削る場合があります

治療前

治療中

治療後