5歳男の子 顎の幅を広げて永久歯が生えるスペースを確保する1期治療で歯並びを整えた症例

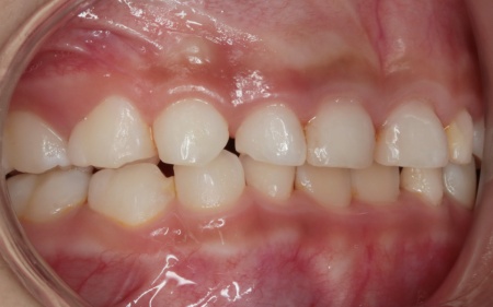
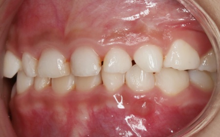
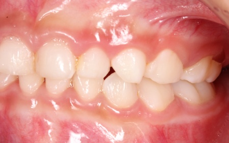
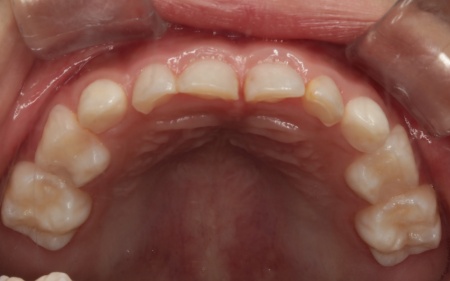
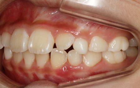
治療前

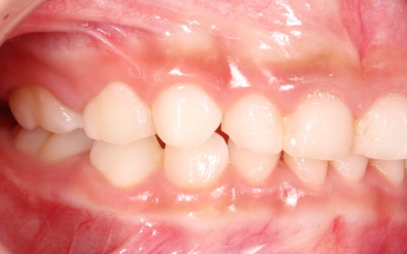
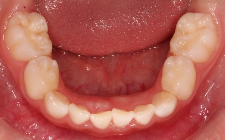
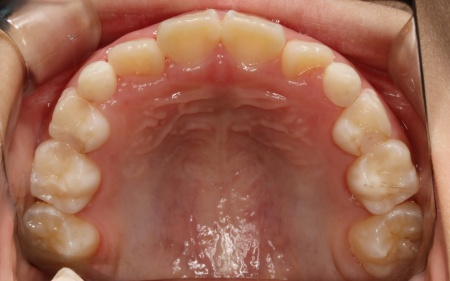
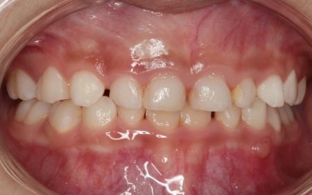
治療後

はじめの相談内容 「乳歯がデコボコに生えている。また、乳歯がギチギチに生えていて永久歯の生えるスペースがなさそうなので、早めに治療を始めたい」とご相談いただきました。
また、患者様のお兄様も当院で矯正治療をされていました。
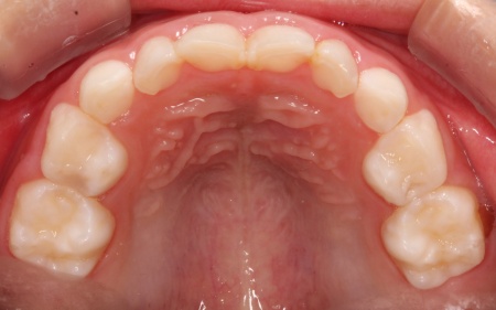
診断結果 拝見したところ、乳歯が隙間なく密集して生えている状態でした。
通常、乳歯の時期には歯と歯の間に発育空隙(はついくくうげき)と呼ばれる自然な隙間や、犬歯の前後に霊長空隙(れいちょうくうげき)と呼ばれる特徴的な隙間があります。
この隙間は、将来永久歯が生えるために必要なスペースを確保するためのものです。

しかし、患者様はこれらの重要な隙間がほとんど見られませんでした。
今のままでは、今後永久歯が適切な位置に並ぶためのスペースが不足すると考えられます。

以上のことから、永久歯への生え変わりをスムーズに進めるためにも、早急に治療を開始する必要があると診断しました。
行った治療内容 患者様の保護者様は早期の治療を希望されていたため、5歳になったタイミングで1期治療を提案しました。
1期治療とは、お子様の成長を利用して骨格的なバランスや歯並びなどの改善を図る小児矯正のことです。

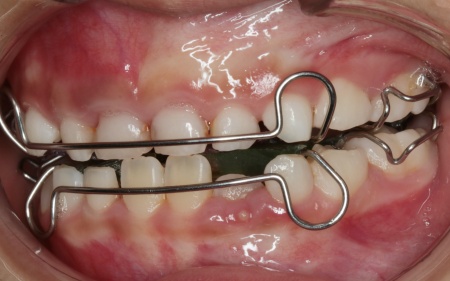
今回の治療では、床(しょう)矯正装置のひとつである「拡大床」という装置を使用した治療法をおすすめしました。
床矯正装置とは、プラスチックの土台部分がある取り外し式の矯正装置の総称です。拡大床は、そのなかでも顎の幅を拡大することを目的とした装置で、中央に組み込まれたスクリューと呼ばれるネジを少しずつ回すことで、顎の横幅を徐々に広げていきます。

メリット
・取り外し可能なので食事や歯磨きがしやすく、日常生活の負担が少ない
・成長期の顎の発育を利用するため、永久歯が生えるスペースを自然なかたちで確保できる
・スクリューを調節することで段階的に顎の幅を広げる方法なので、無理なく治療を進められる

デメリット
・取り外し式の装置なので、決められた装着時間を守る必要がある
・スクリューの調整と口腔内の経過観察で、定期的に来院いただく必要がある

メリットとデメリットを丁寧にお伝えし、治療に同意いただきました。

まずは患者様専用の拡大床を製作し、装着を開始します。
治療中は、スクリューを少しずつ回すことで顎の骨が徐々に横方向に拡大されていき、永久歯が生えるためのスペースを十分に確保することができました。

拡大治療が完了したあとは、顎の状態を安定させるためのリテーナー(保定装置)を装着し、治療を終了しています。
治療期間 2年
費用 約430,000円
(検査代、1期治療費、リテーナー代)
治療のリスクについて ・治療中、発音しにくい場合があります
・治療中、舌が動かしにくいことがあります
・治療中、装置によってまれに頬の内側が傷つき、口内炎になる場合があります
・決められたスケジュールを守らない場合、十分な効果が得られない可能性があります
・歯の移動に伴って、痛みや違和感を感じる場合があります
・正しいブラッシングやメンテナンスを行わない場合、虫歯や歯周病のリスクが高まります

治療前

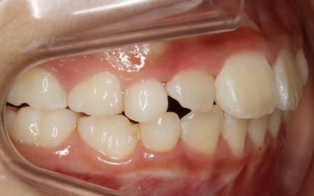
治療中

治療後